Jakým cementem fixovat zirkon

Translucentní zirkon

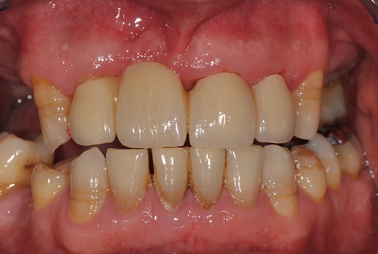
Translucentnější zirkon zvyšuje estetiku i u fasetované celokeramiky

Používáme translucentní zirkon, který je zároveň i pevný, má 1 000 MPa


Rozdíl v translucenci zirkonu

 

Vysoce translucentní zirkon zvyšuje kvalitu našich fasetovaných korunek a můstků 🔎

Zhotovili jsme dva můstky stejnému pacientovi. Jeden na standardním zirkonu a druhý na vysoce translucentním zirkonu s pevností 1000 MPa.

Na modelu skoro nebyl poznat rozdíl, ale v ústech byl rozdíl poměrně výrazný 👇
 

fasetovany-translucentni-zirkon