Pro lékaře
Pro laboratoře
O nás
Kontakt
Portál
Domů
Pro lékaře
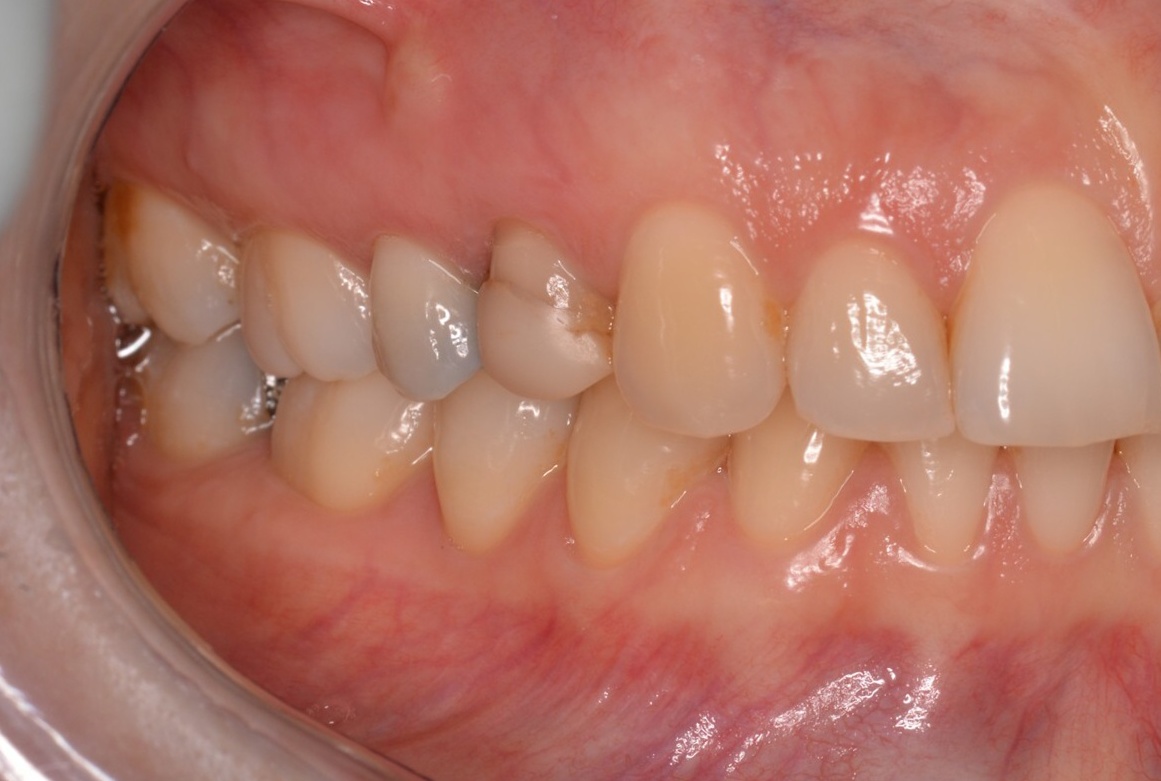
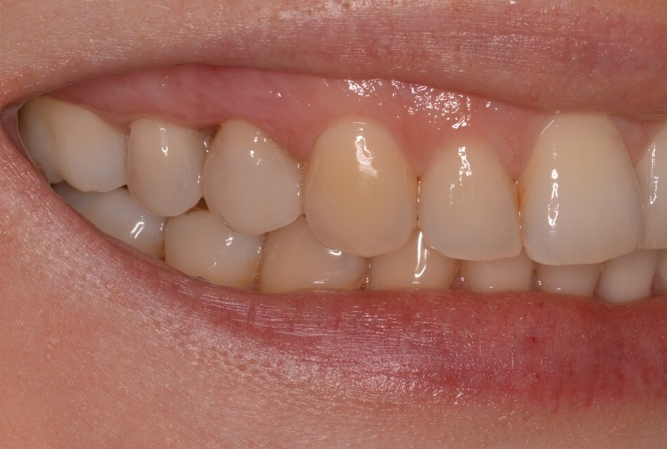
Kompozit
Kompozit
Přirozený kompozit
Zhotovujeme metodou CAD/CAM z materiálu Bredent
nebo rentgenokontrastního materiálu Hyramic.
Hyramic
má mnohem
vyšší houževnatost
než zirkon a proto lépe odolává šíření trhlin
modul pružnosti se blíží přirozenému zubu.
je esteticky srovnatelný s celokeramikou