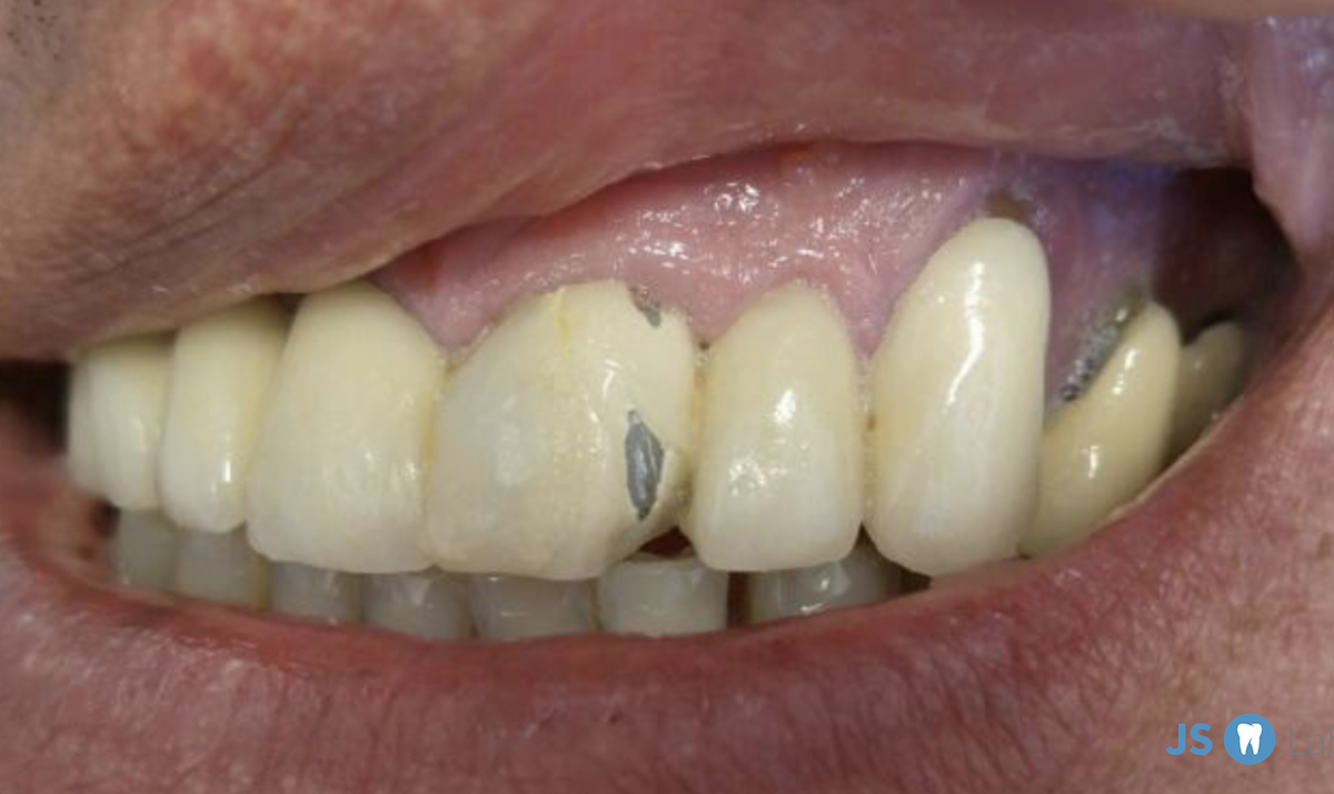
Oprava odštíplé keramiky

Bez nutnosti sundávat celý můstek

Se zárukou, kvalitně a esteticky


Oprava chipingu

 

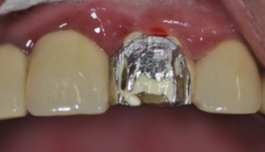
Stačí odbrousit zbytky keramiky, vytvořit pahýl, otisknout a poslat do 🦷 laboratoře.

Takto jde opravit pilířový zub i mezičlen 👍

chiping-jslab

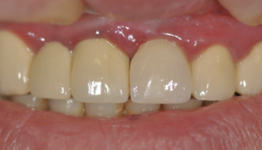
Jednoduše a kvalitně

 

Pak už stačí jenom nacementovat novou celozirkonovou korunku přes původní obnaženou konstrukci.

Toto řešení je jednoduché, dlouhodobé a levné💰

oprava-chipingu-540x310