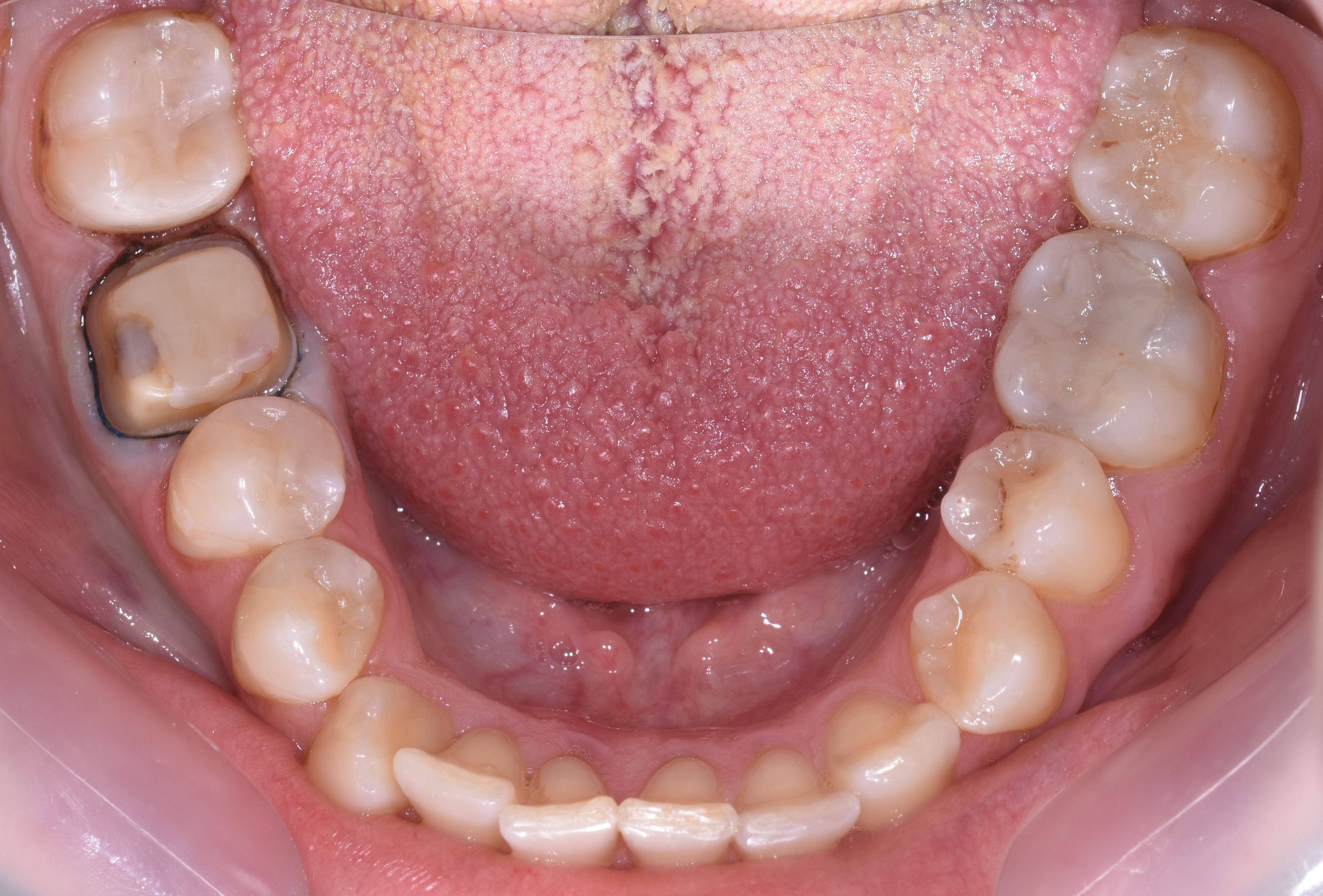
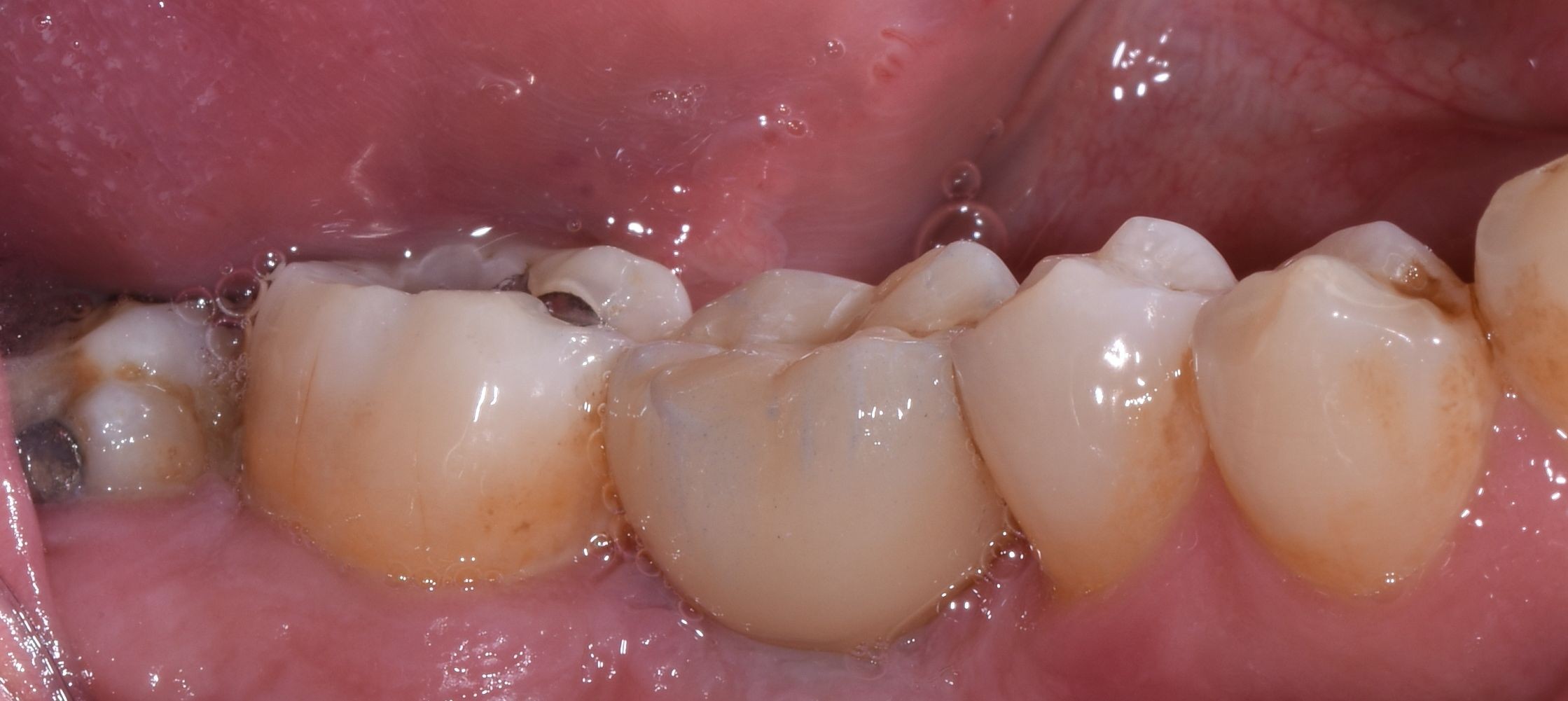
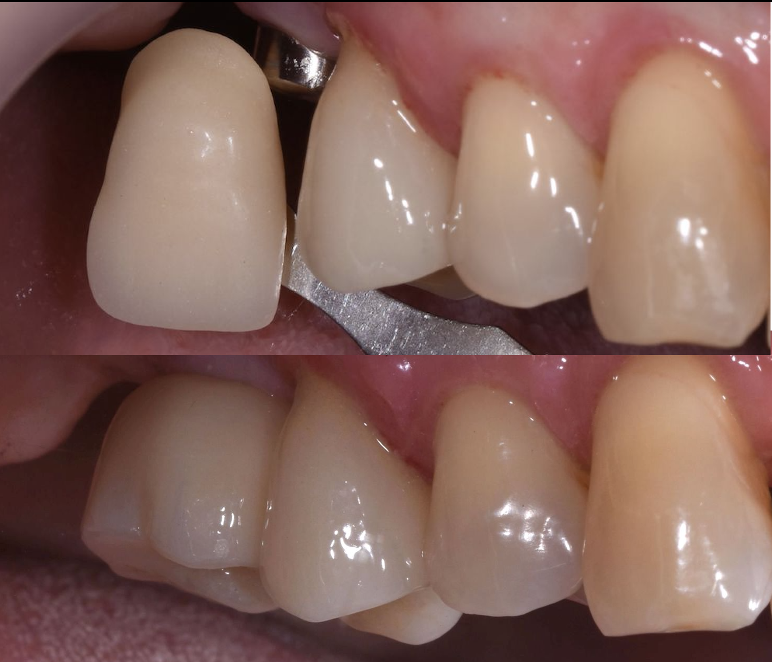
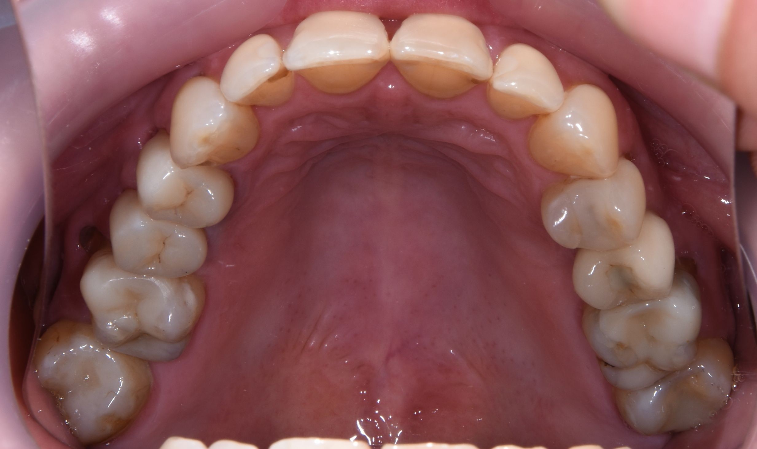
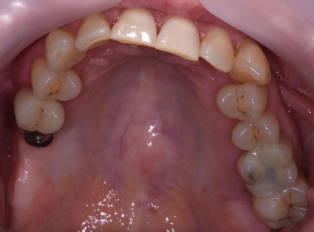
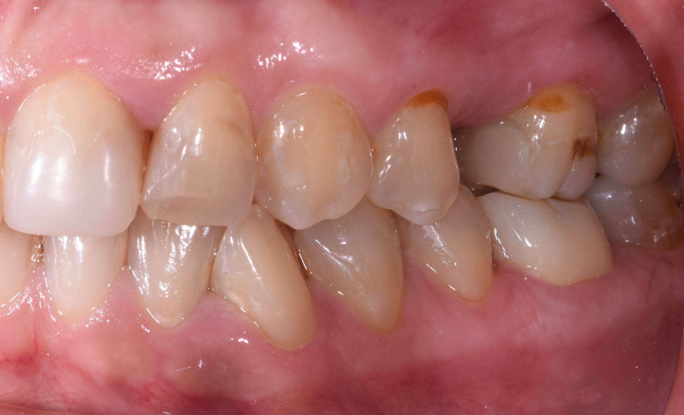
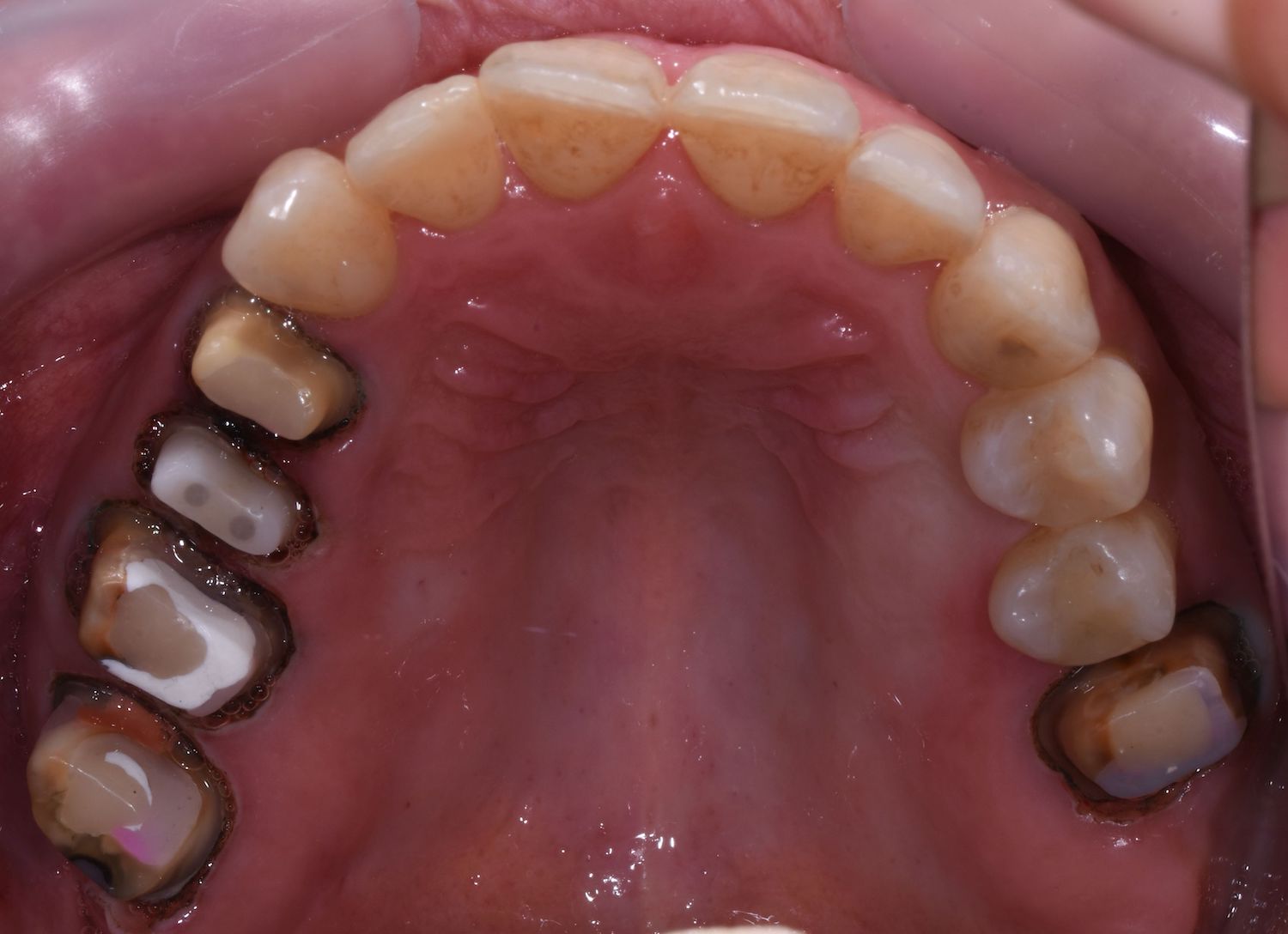
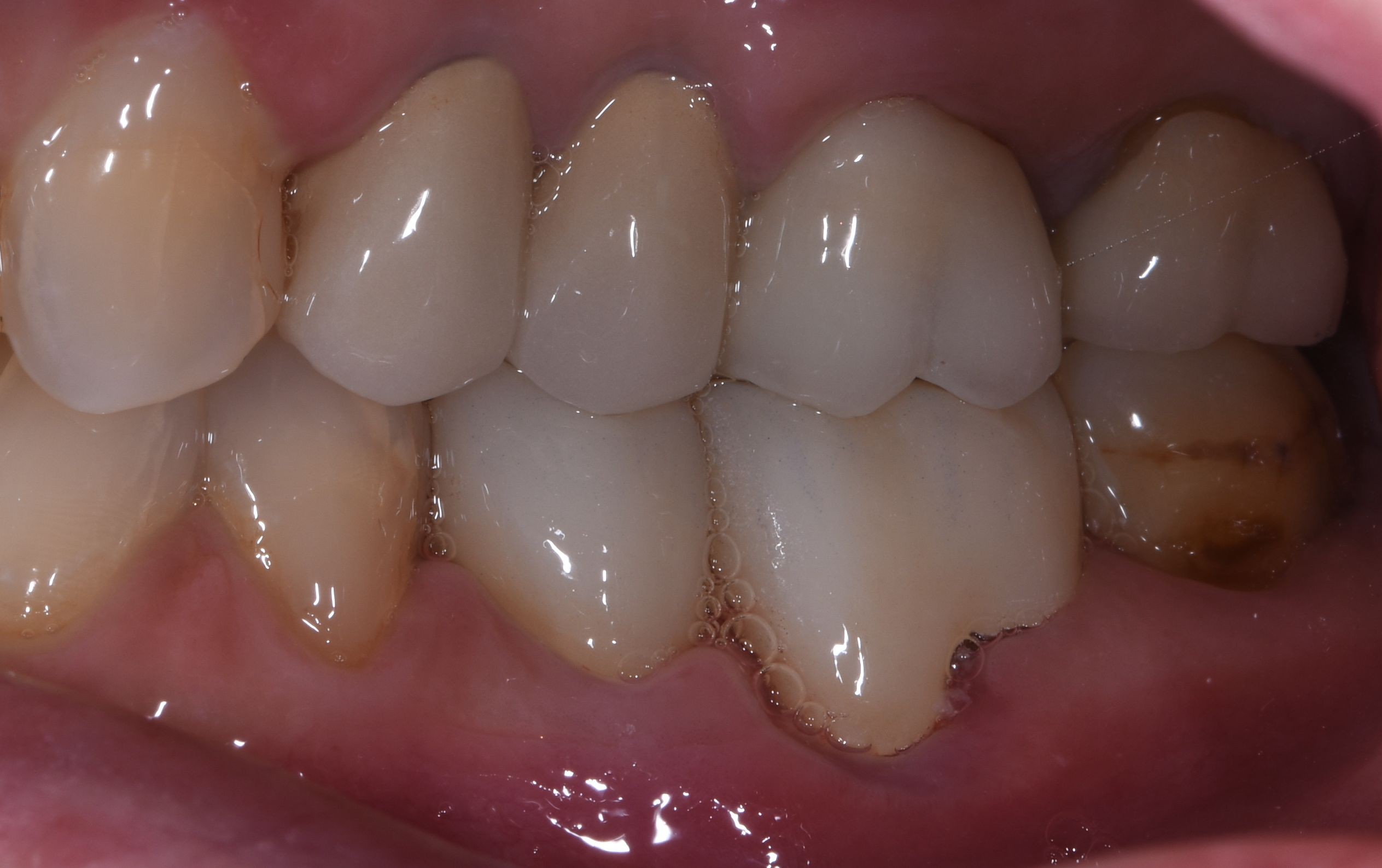
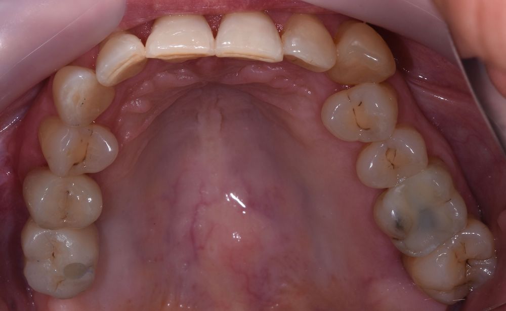
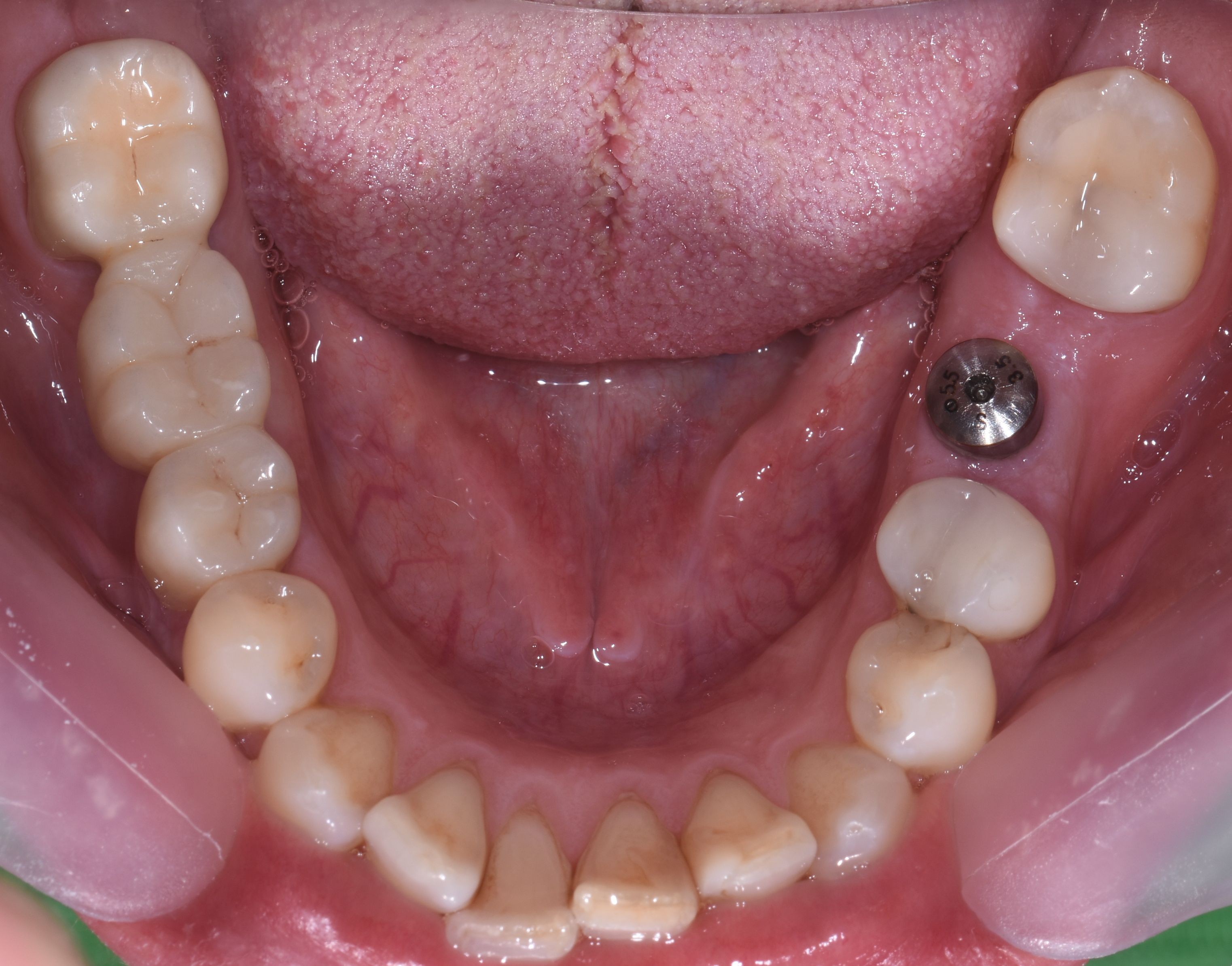
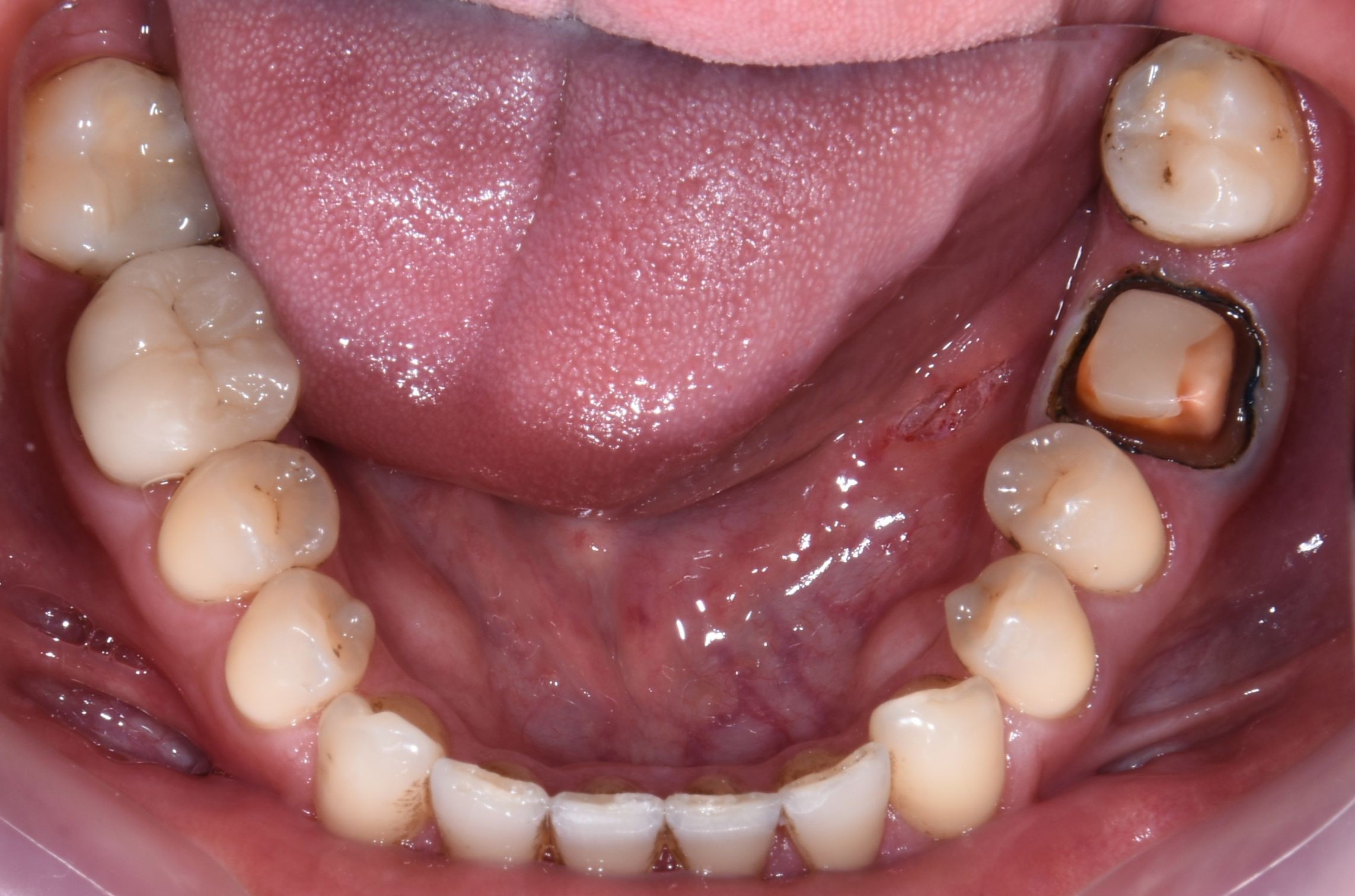
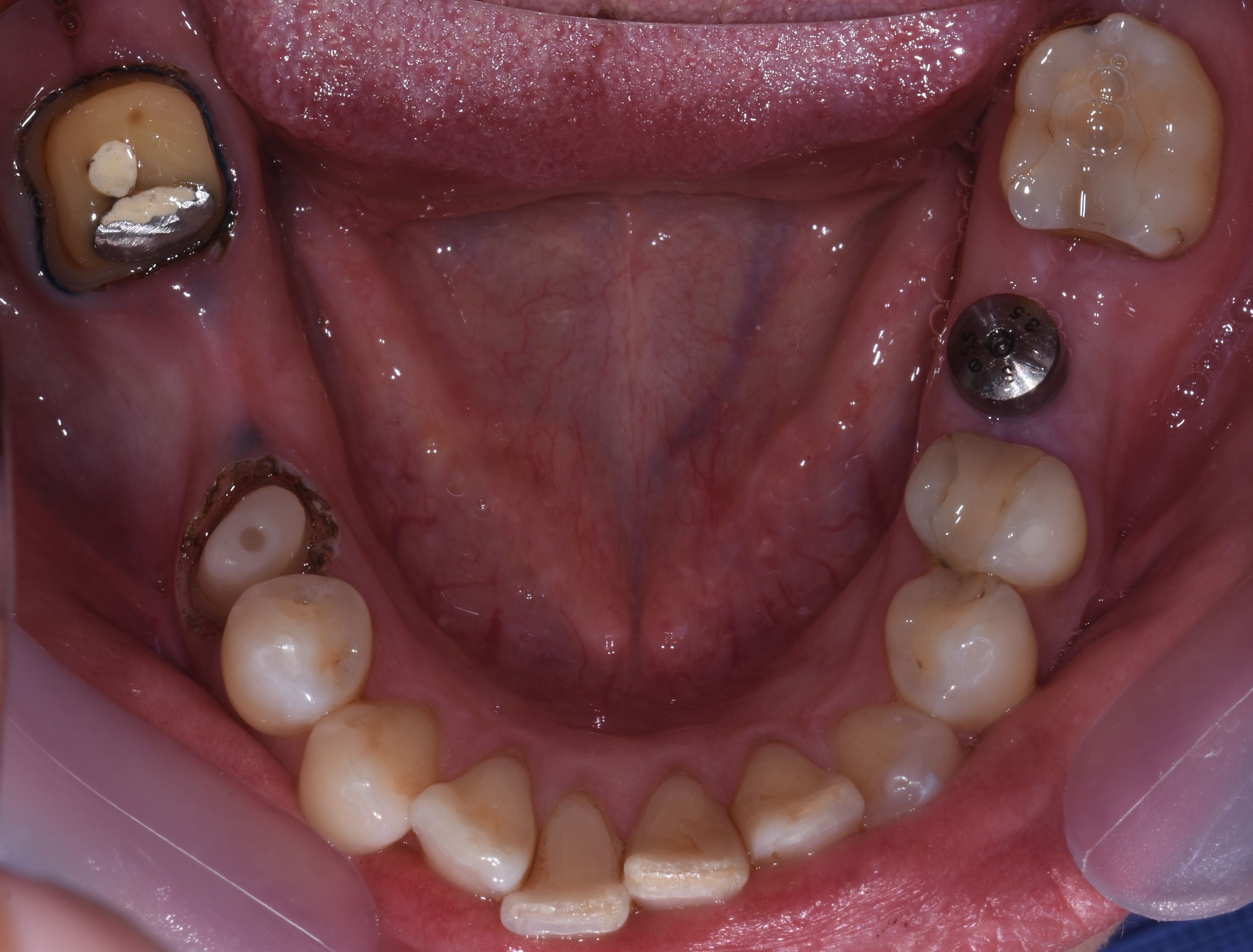
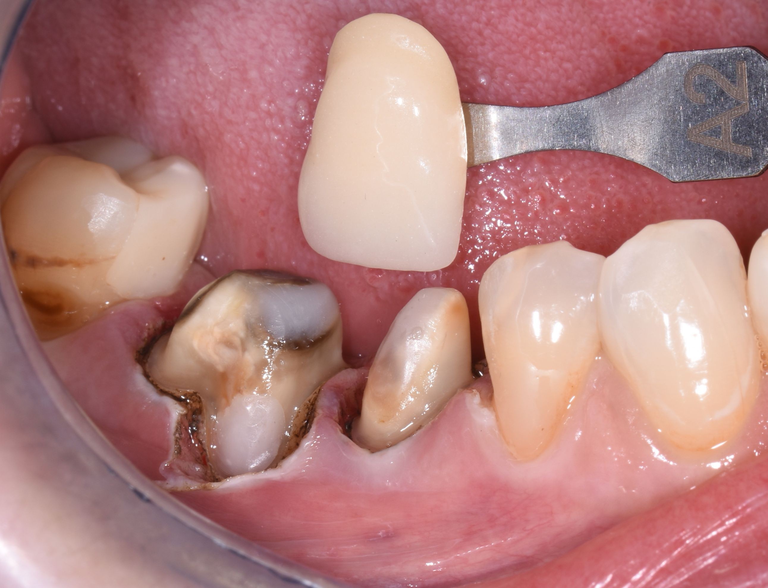
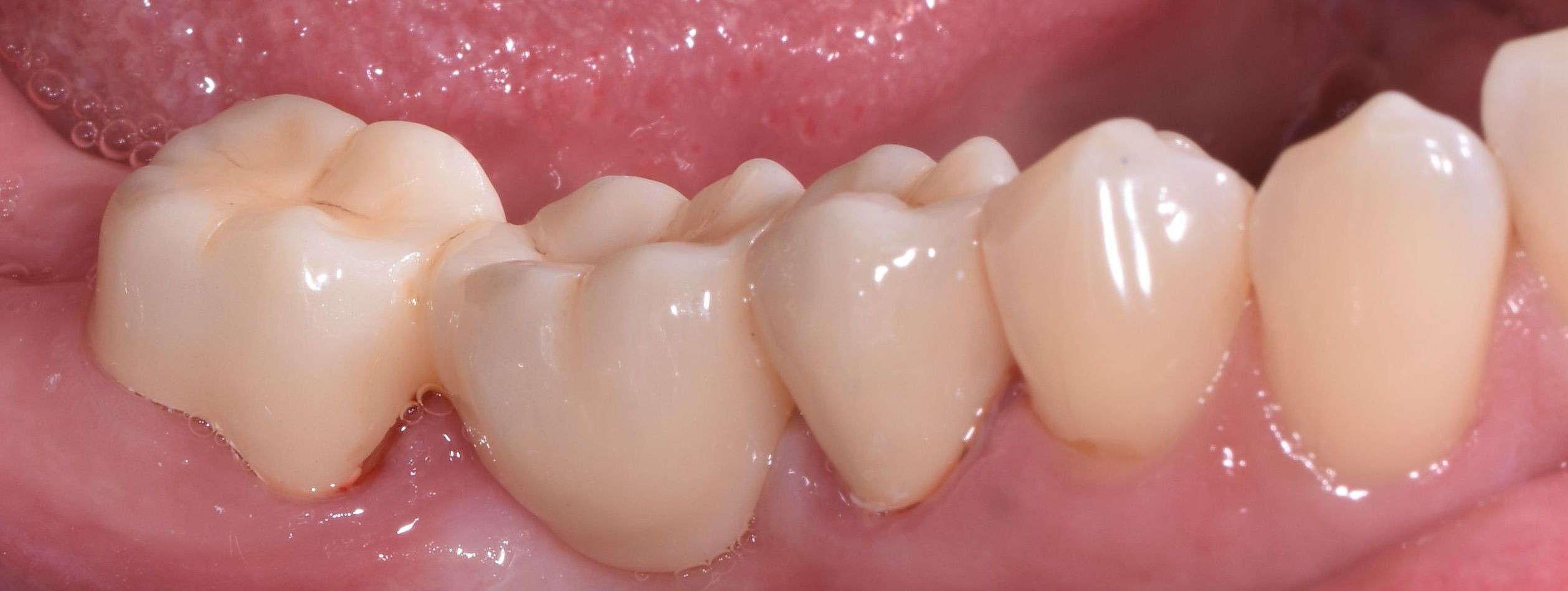
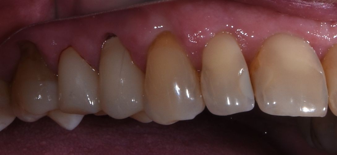
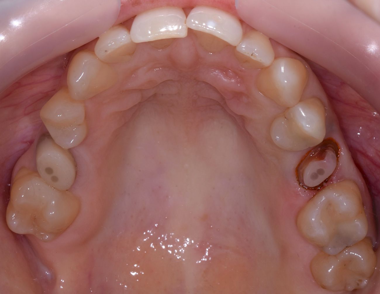
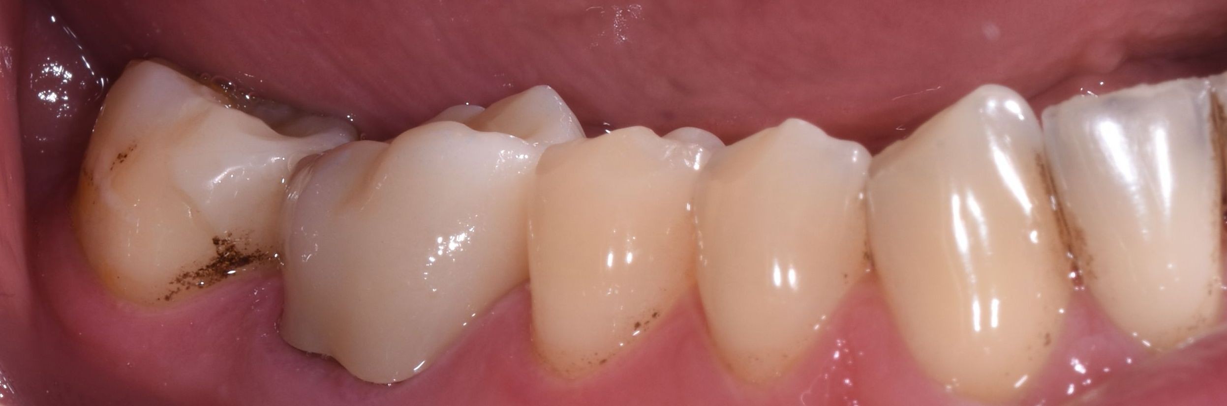
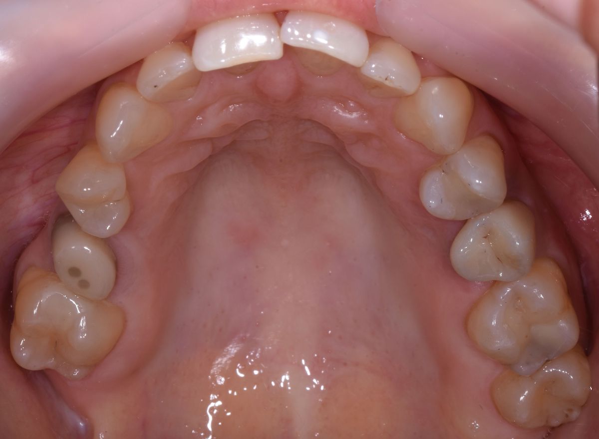
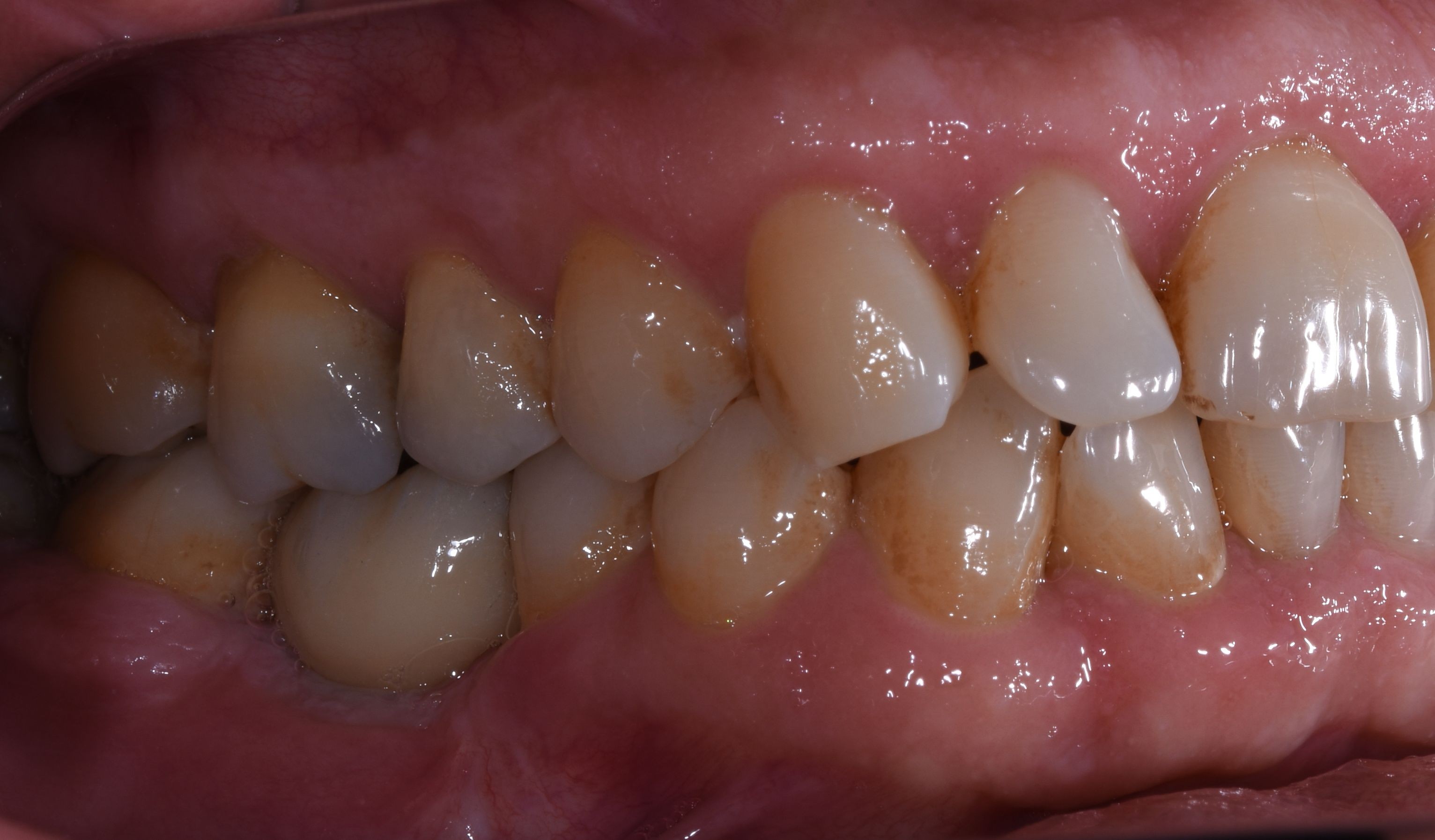
Celozirkon

Světově nejrozšířenější typ celokeramiky

Korunky z anatomického zirkonu jsou pevné, estetické a trvanlivé


Korunky z plně anatomického zirkonu


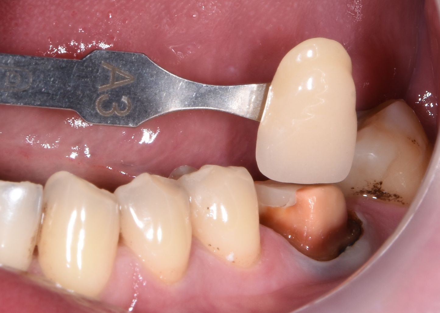
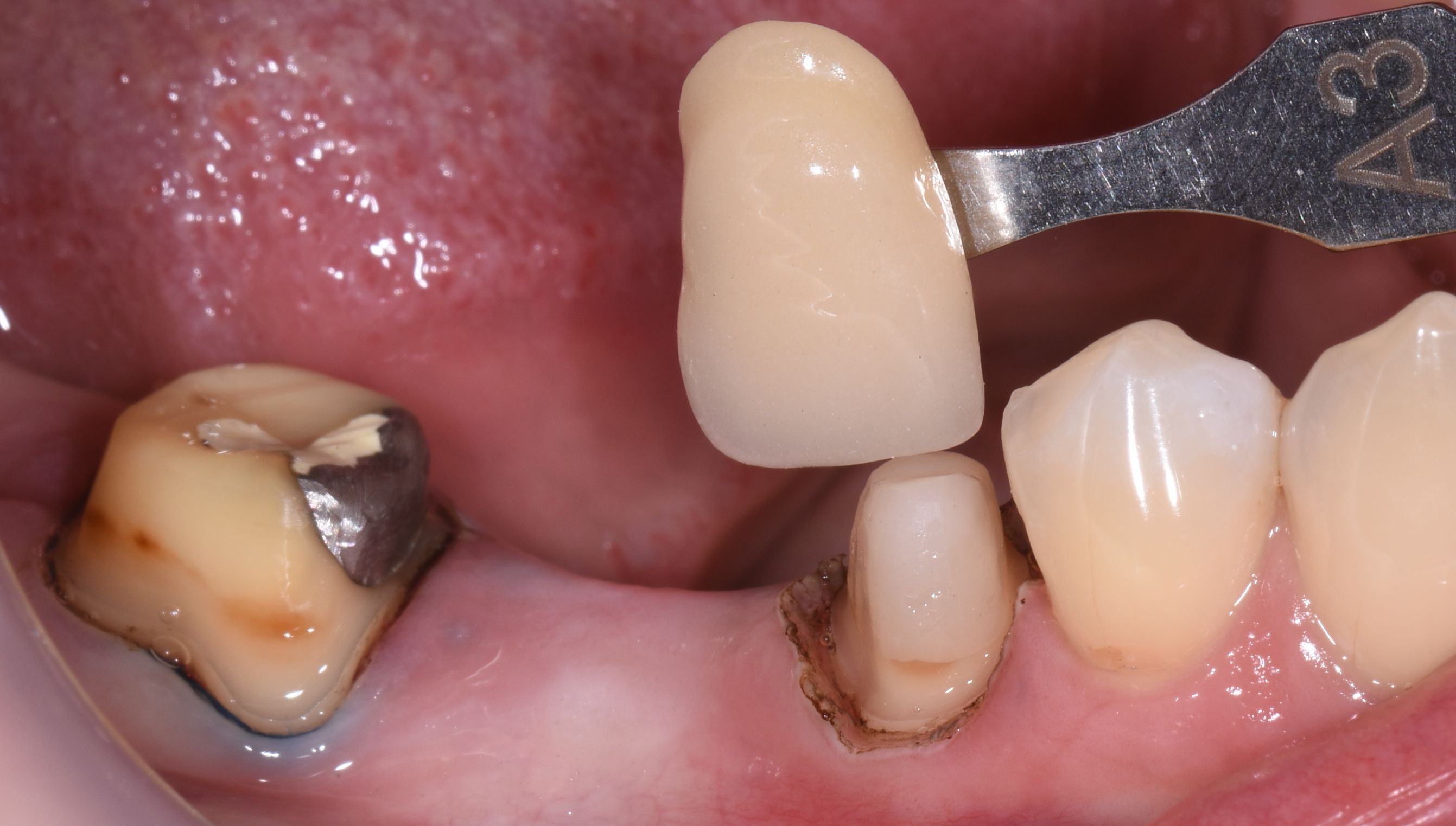
Jediné riziko prasknutí hrozí při nešetrné fixaci. Jakmile je korunka správně nacementovaná, tak vydrží vše

Proto na ní dáváme 5 let záruku 📎
 

Roman-tom-jslab

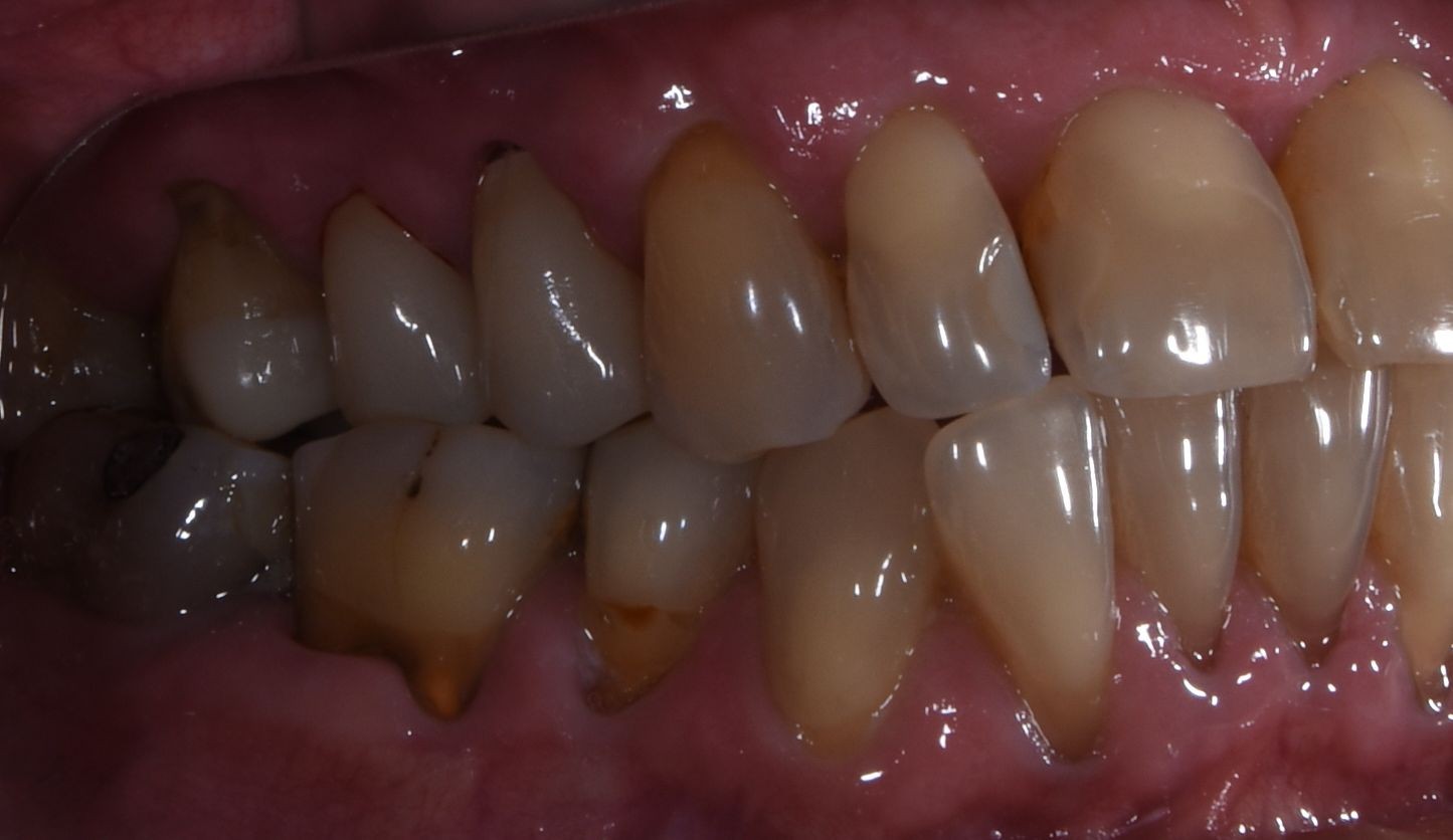
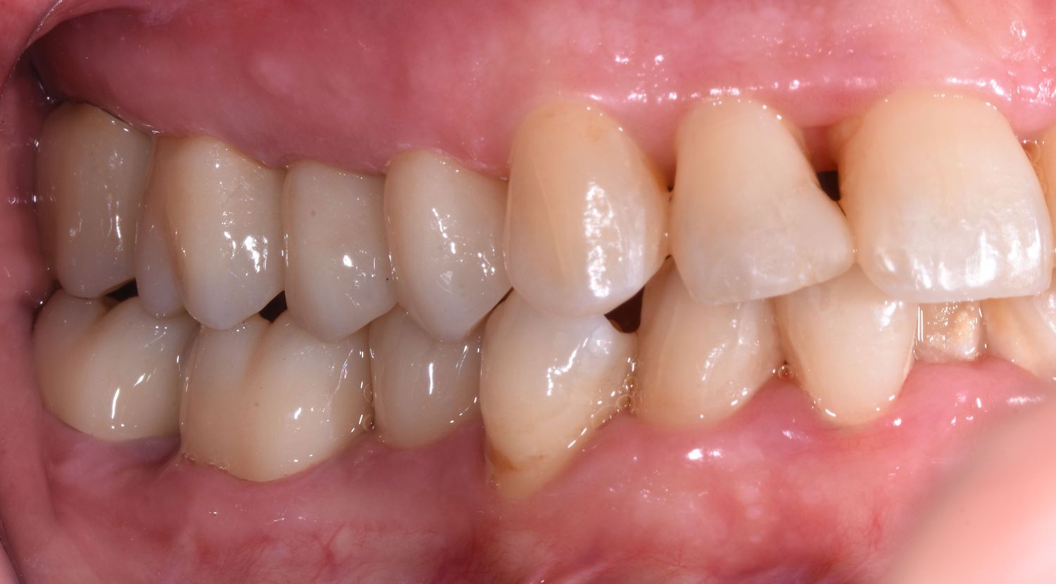
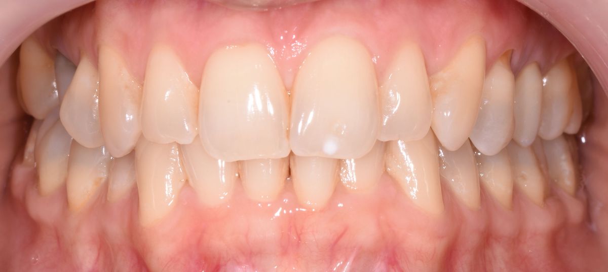
Přirozená estetika

 

U distálních korunek a můstků z plně anatomického zirkonu není patrné, že nejsou fazetované keramikou.

sef-jslab-zubni-laborator

Naše práce z celozirkonu

Fixujte anatomické náhrady 4 den po otiskování

Nabídněte svým pacientům něco extra