Frézovací centrum

Využijte naše CNC frézky

Máme 9 CNC frézek. U zakázek z PMMA a zirkonu proto garantujeme odeslání hotové zakázky 

už následující pracovní den, pokud vložíte STL soubor do 12.00


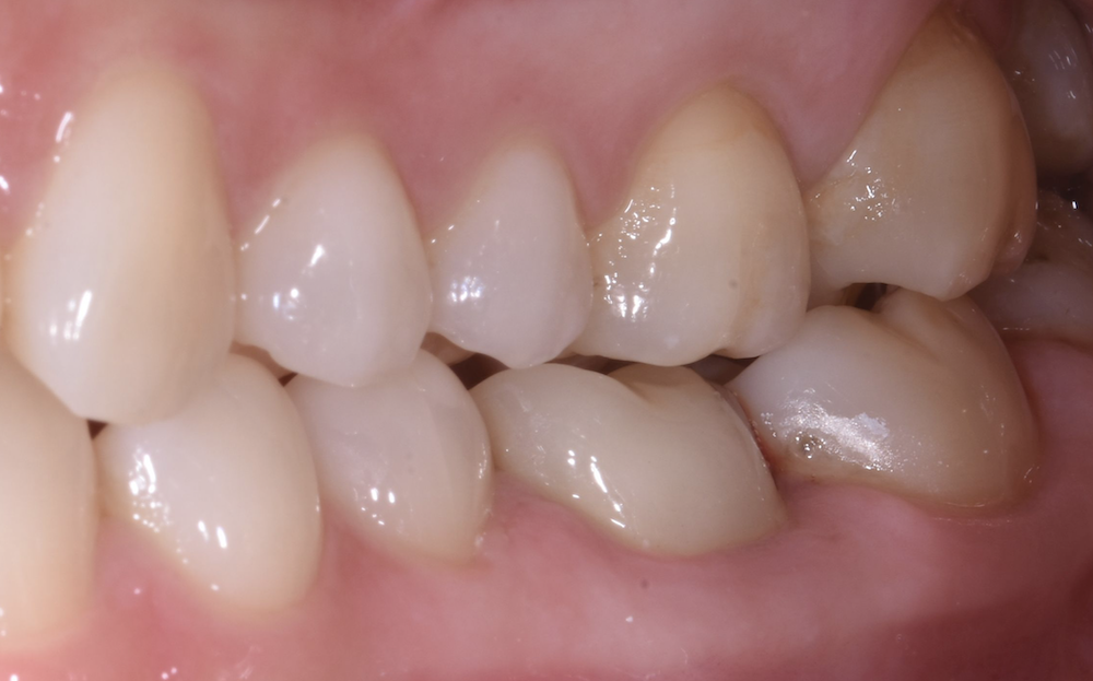
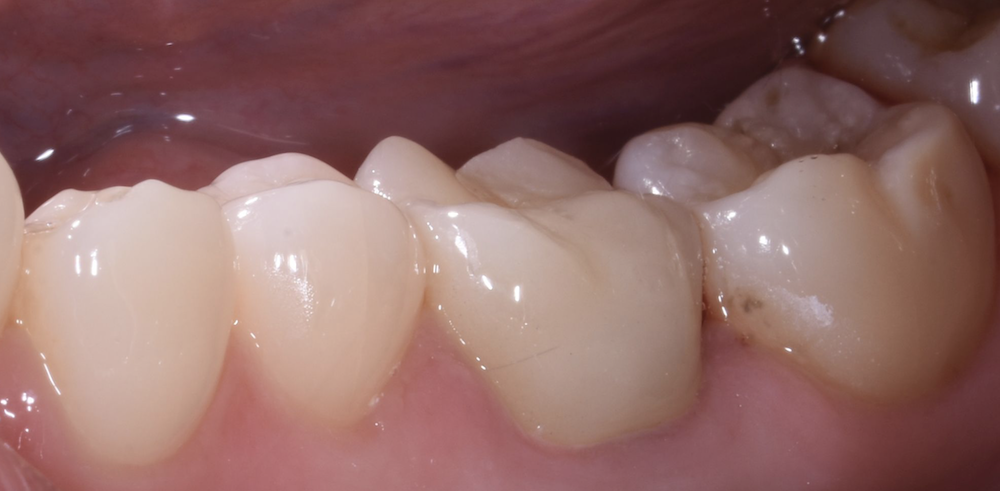
Jak zhotovujeme multicolor zirkon

 

Nepoužíváme multicolorové disky, barvíme monocolor zirkon ručně před sintrováním. 

Takto dobarvené korunky jsou v ústech přirozenější a živější než tovární multicolor zirkon.

 

Cnc-jslab

Máme širokou nabídku materiálů

 

  • 16 barev standardní zirkon - monocolor i multicolor
  • 11 barev translucentní zirkon - monocolor i multicolor
  • 8 barev G-CAM / Grafen
  • 16 barev PMMA - multicolor, 7  barev PMMA monocolor
  • PEEK, Vosk, CoCr
frézovací-centrum-jslab

Ceník frézovacího centra JS Lab - ceny za jeden člen - platí od 13.5.2022

 

CAD modelace - 1 člen    
100 CAD modelace - konstrukce 550 Kč
110 CAD modelace - anatomická konstrukce 600 Kč
Dodaná STL data - 1 člen    
200 Translucentní zirkon 590 Kč
250 Vysoce translucentní zirkon 690 Kč
300 PMMA monocolor 320 Kč
400 CoCr laser 350 Kč
700 G-CAM 690 Kč
900 PEEK 590 Kč
920 Dobarvení zirkonu - před sintrováním - hrana a krček 60 Kč
990 Poštovné 110 Kč