Metalokeramika

Nejlepší řešení pro fixní náhrady v minulém století

Nyní zhotovujeme pouze tam, kde není možné zhotovit celokeramiku


Metalokeramika

 

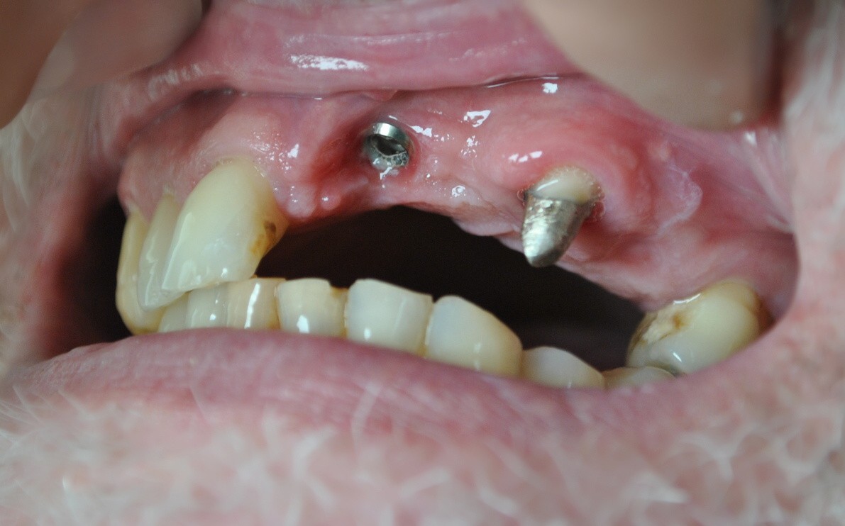
Metalokeramické korunky a můstky jsou fixní zubní náhrady na kovové konstrukci. Do roku 2015 to byla nejpouživanější varianta fixní zubní náhrady. 

O té doby jí nahradila celokeramika. V některých případech však celokeramika použít nejde a proto metalokeramiku nadále používáme.

Draha-vintrlikova-jslab

Nevýhody metalokeramiky

 

MUDr. Roman Šmucler ve videu srozumitelně vysvětluje hlavní rozdíly mezi celokeramikou, celozirkonem a metalokeramikou.


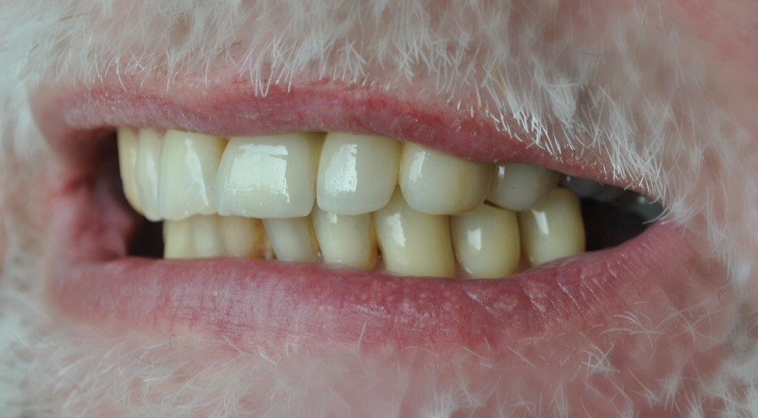
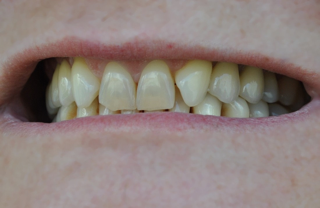
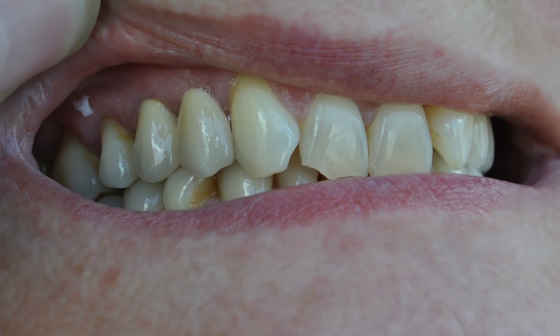
Podívejte se na ukázky našich metalokeramických zubních náhrad