Jsme pohodová zubní laboratoř

Vyzkoušejte pohodovou spolupráci

Zjistěte, proč s námi spolupracuje už více než 500 zubních lékařů z celé ČR a Slovenska


Představte si, že


...máte pacienta na křesle, korunka nejde nasadit, nebo pacient je totálně nespokojený🤷🏻‍♂️....Máte stres z následné komunikace s laboratoří?

I naše práce občas nesedí. Tomu se nedá 100% vyhnout. S námi však ve stresu nebudete.

Nediskutujeme o tom, kdo za to může. Vždy hledáme řešení a pomáháme vám ✅

aplikace-mydentlab-zubni-laborator

Vyzkoušejte pohodovou spolupráci

 

  • Vyzvednutí otisků ve vaší ordinaci kdekoli v ČR a na Slovensku.
  • Do 4 dnů můžete fixovat.
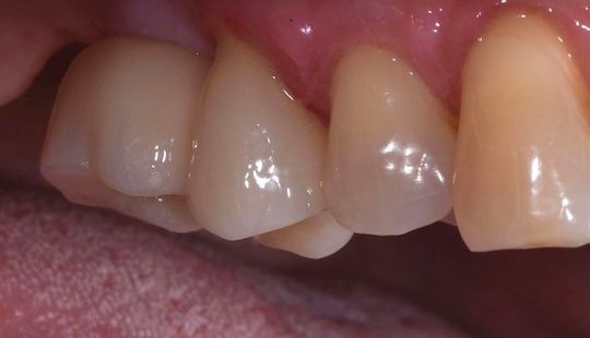
  • Na anatomické korunky ze zirkonu dáváme záruku 5 let.
celozirkon-6

Jsme JS Lab


Brněnská zubní laboratoř založená v roce 1994, ale s moderním přístupem. Jsme plně digitální.

Pro rychlou a efektivní komunikaci se zubními lékaři jsme vyvinuli vlastní aplikaci MyDentLab.

Spolupráce s námi vás bude bavit 👩‍⚕️

anatomický-celozirkon-jslab.JPG


Za celý svůj profesní život jsem spolupracovala asi s 8 zubními laboratořemi. Se všemi to byl boj. Až těsně před důchodem jsem objevila laboratoř, se kterou nebojuji. Se zubní laboratoří  JS Lab je spolupráce absolutně bez stresu.
          MUDr.Drahomíra Smolíková - Brno

Spolupráce  s JS Lab je spolehlivá a rychlá, nikdy se nestalo že by práce nepřišla včas. Pokud by práce z JS Lab nebyly kvalitní, nespolupracoval bych s nimi.
          MUDr. Michal Pražan - Pardubice 

Pražan,Smolíková