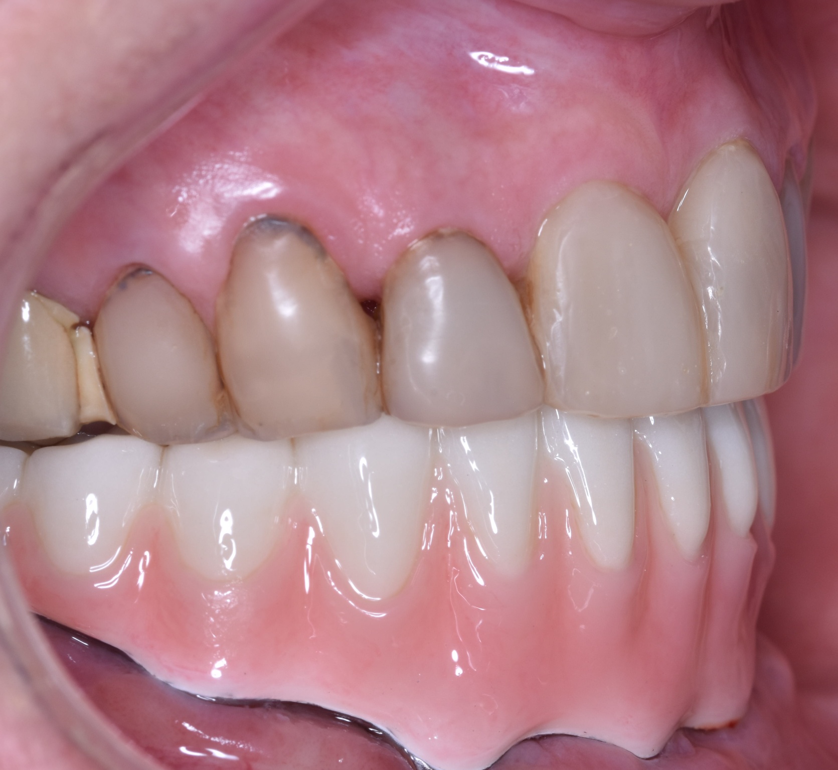
Implantátové korunky

V posledních letech vidíme velký nárůst implantologických prací. Zhotovujeme náhrady na téměř 40 různých implantologických systémů, z nichž každý má několik variant podle typu, velikosti nebo řady implantátů. Každý implantát je jinak zavedený, a tak musíme vždy pečlivě rozhodnout, jaký cut použijeme podle toho jak hluboko je implantát zaveden.

Vnímáme také změnu preferencí lékařů – šroubované fixace jsou stále oblíbenější, ale někteří lékaři stále ještě dávají přednost cementovaným náhradám. Často také řešíme implantáty s odlišným sklonem, kde musíme rozhodnout, zda je nutné použít multiunit abutment.

Tohle všechno dělá práci s implantáty velmi komplexní. Není to jen o technice, ale hlavně o zkušenostech a schopnosti správně vyhodnotit každý případ.


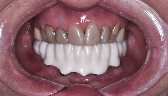
Pracovní postup u velkých prací

 

  1. Individuální lžižka, skusové šablony.
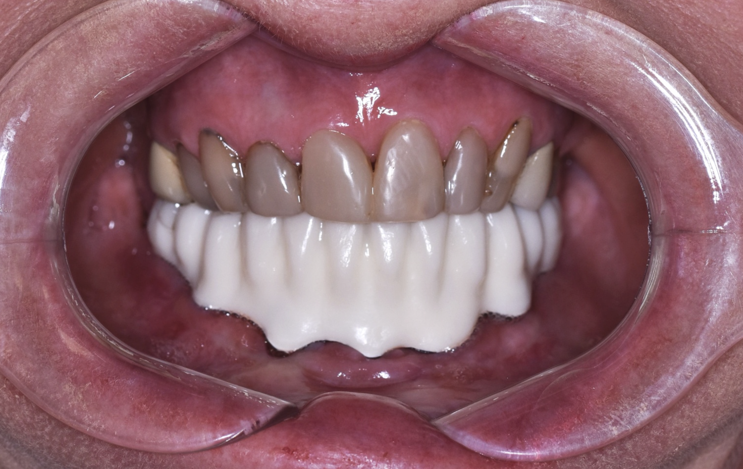
  2. Zkouška tvaru a přesnosti v definitivním anatomickém tvaru pomocí bílého resinu nebo frézovaného či tištěného PMMA ✅
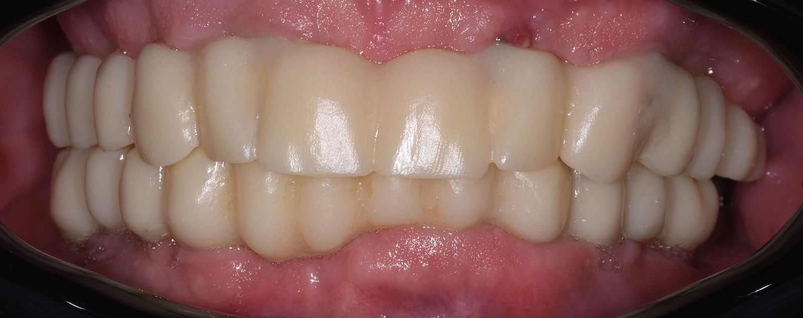
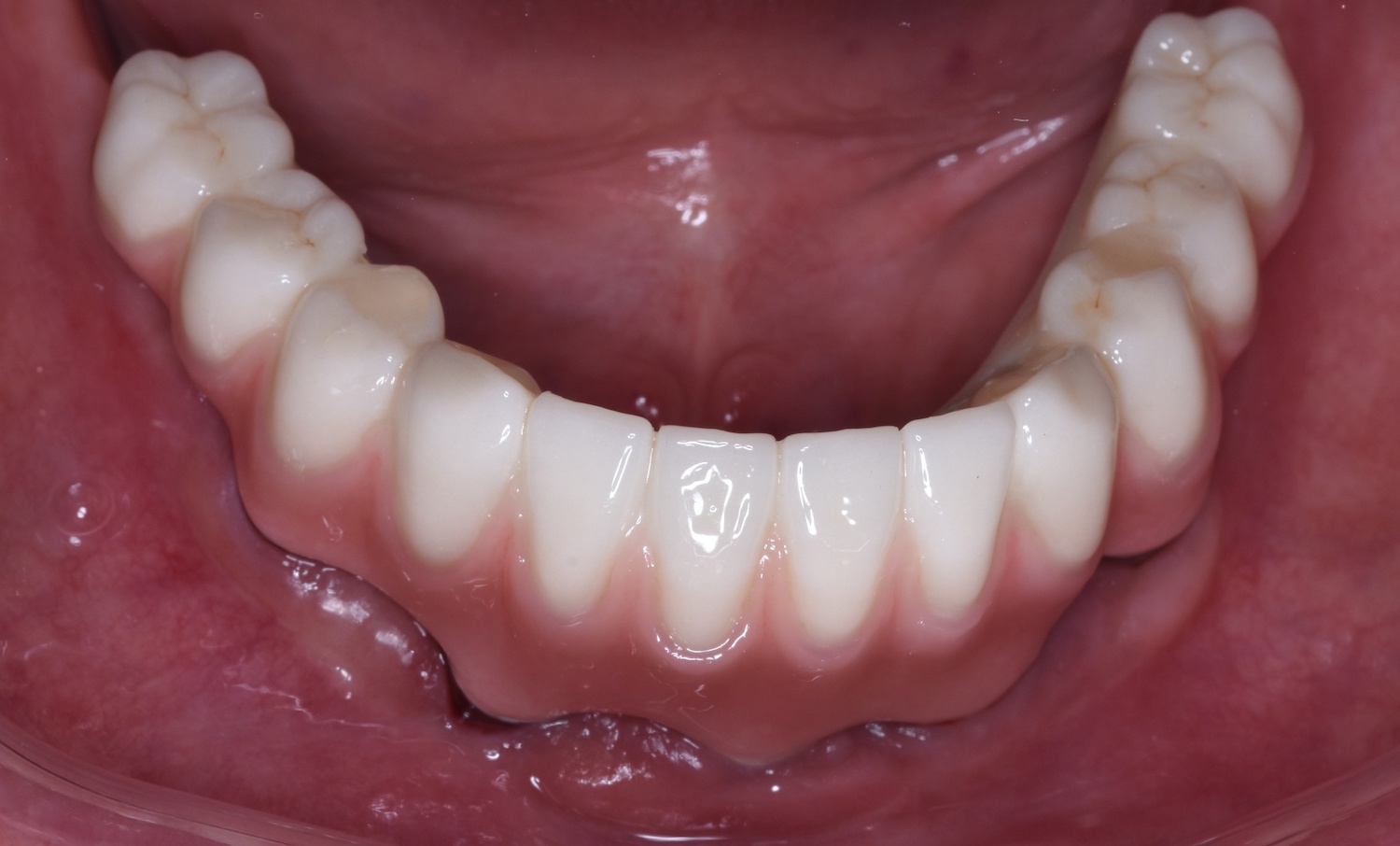
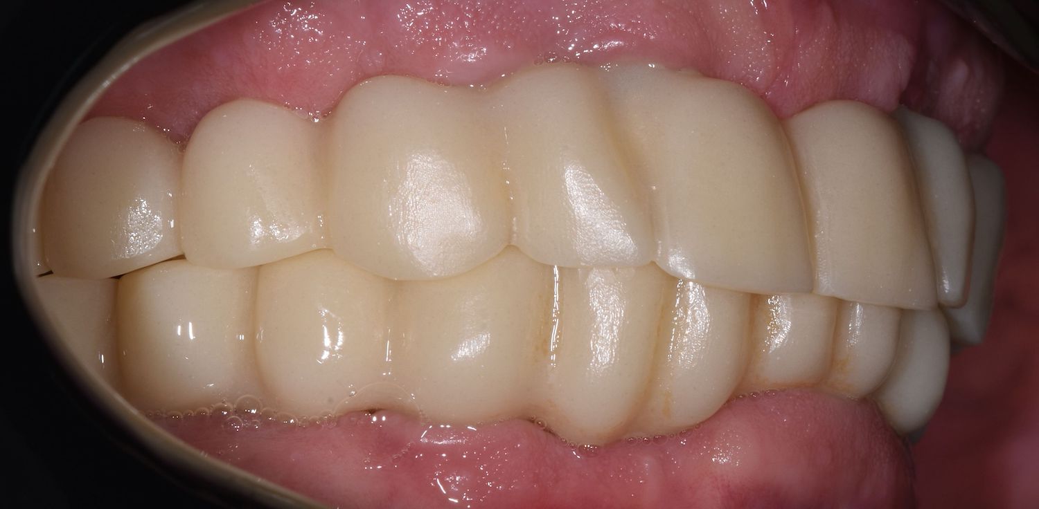
  3. Odevzdání hotové zubní náhrady.

Po odsouhlasení přesného dosedu, správného tvaru a skusu zhotovujeme definitivní zubní náhradu 👇

implantatove-korunky-jslab

Zkouška přesnosti a tvaru pomocí PMMA

 

Pomocí PMMA je konečný výsledek Branemarku kompletně předem vyzkoušený a odsouhlasený lékařem i pacientem.

Při odevzdávání tedy nehrozí žádné překvapení.